Table of Contents
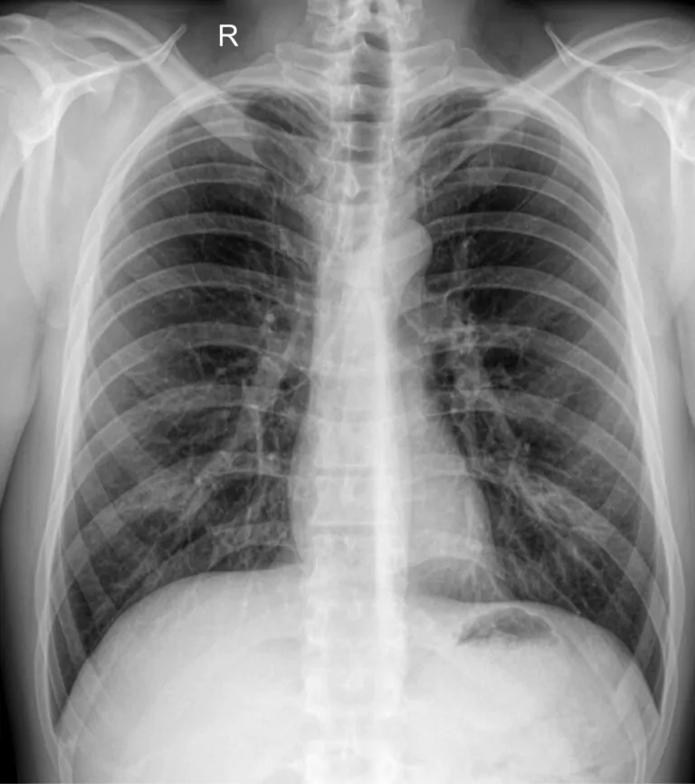
Флюорография СПб представляет собой метод рентгенологического исследования органов грудной клетки, который применяется для раннего выявления заболеваний легких и других патологий. Данный вид диагностики широко используется в профилактической медицине и позволяет обнаружить изменения на ранних стадиях, когда симптомы могут отсутствовать или быть слабо выраженными.
Основная цель флюорографии
Главной задачей флюорографического исследования является своевременное выявление заболеваний дыхательной системы и сопутствующих изменений в грудной клетке. Регулярное прохождение процедуры помогает контролировать состояние здоровья и снижать риск осложнений.
- обнаружение туберкулеза на ранних стадиях;
- выявление новообразований в легких;
- диагностика воспалительных процессов;
- оценка состояния плевры и средостения;
- мониторинг хронических заболеваний дыхательной системы.
Принцип проведения исследования
Флюорография основана на использовании рентгеновского излучения, которое проходит через ткани организма и фиксируется на специальном носителе. Полученное изображение позволяет врачу оценить состояние органов грудной клетки.
- пациент располагается перед аппаратом;
- выполняется кратковременное облучение;
- изображение фиксируется в цифровом или пленочном формате;
- результат анализируется специалистом;
- при необходимости назначаются дополнительные исследования.

Виды флюорографии
Современная медицина использует несколько разновидностей флюорографических исследований, отличающихся способом получения изображения.
- Пленочная флюорография: традиционный метод с использованием рентгеновской пленки;
- Цифровая флюорография: более современный вариант с меньшей лучевой нагрузкой;
- Малоформатная флюорография: применяется для массовых профилактических осмотров.
Преимущества метода
Флюорография остается востребованной благодаря своей доступности и эффективности при профилактических осмотрах.
- быстрое проведение исследования;
- возможность массового скрининга;
- относительно низкая лучевая нагрузка;
- раннее выявление опасных заболеваний;
- простота интерпретации результатов.
Периодичность прохождения
Рекомендованная частота флюорографии зависит от возраста, состояния здоровья и профессиональных факторов риска. В большинстве случаев обследование проводится регулярно в рамках профилактики.
- плановые осмотры взрослого населения;
- контроль при хронических заболеваниях легких;
- обследование при контакте с инфекционными больными;
- медицинские осмотры для работы или учебы;
- наблюдение по назначению врача.
Ограничения и особенности
Несмотря на широкое применение, флюорография имеет определенные ограничения и не всегда подходит для детальной диагностики.
- не используется для точной оценки мелких патологий;
- не рекомендуется без показаний в короткие промежутки времени;
- может потребовать дополнительных методов исследования;
- имеет противопоказания для отдельных категорий пациентов;
- результаты требуют профессиональной интерпретации.
Заключение
Флюорография является важным инструментом профилактической медицины, позволяющим своевременно выявлять заболевания органов грудной клетки. Регулярное прохождение обследования способствует ранней диагностике и повышает эффективность последующего лечения. При грамотном использовании и соблюдении рекомендаций специалистов флюорография остается надежным и информативным методом контроля состояния дыхательной системы.




































